Health & Fitness
6 min read
Cabergoline-Induced Gambling Linked to Increased Adrenal Crisis Episodes
Endocrine Society
January 20, 2026•2 days ago

AI-Generated SummaryAuto-generated
A patient treated with cabergoline for acromegaly developed pathological gambling and frequent adrenal crisis episodes. The impulse control disorder, linked to cabergoline, exacerbated her adrenal crises. Discontinuing the medication resolved the gambling and reduced adrenal crisis frequency. The case highlights the need for behavioral screening in patients on dopamine agonists.
Mercedes Martinez-Gil, Shadee Aghel, Tshibambe N Tshimbombu, Kevin CJ Yuen
JCEM Case Reports, Volume 3, Issue 12, December 2025, luaf263
https://doi.org/10.1210/jcemcr/luaf263
Abstract
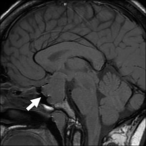
Dopamine agonists have been used in the treatment of acromegaly, but they are modestly effective and are rarely associated with impulse control disorders (ICDs). We present the case of a 34-year-old woman with acromegaly who underwent transsphenoidal resection for an invasive pituitary macroadenoma, followed by the development of panhypopituitarism. Postoperative imaging revealed residual tumor, and her insulin-like growth factor I levels remained elevated, indicating disease persistence. She subsequently received salvage radiosurgery and was treated with lanreotide and cabergoline, achieving biochemical control of her disease. The patient later reported frequent adrenal crisis episodes with worsening anxiety. Four years after initiating cabergoline, she disclosed impulse control behaviors, including pathological gambling, which had resulted in financial stress and emotional strain. Two weeks after discontinuing cabergoline, she had complete resolution of her ICD symptoms with improved anxiety levels and fewer adrenal crisis episodes. In this case, cabergoline-induced gambling contributed to psychosocial stress that likely exacerbated her adrenal crisis episodes. Our case emphasizes the need for routine behavioral screening in patients treated with dopamine agonists. Early identification and discontinuation or dose reductions of dopamine agonists is recommended to allow for ICD resolution and consequently, reducing the risk of exacerbating adrenal crisis episodes.
Rate this article
Login to rate this article
Comments
Please login to comment
No comments yet. Be the first to comment!
